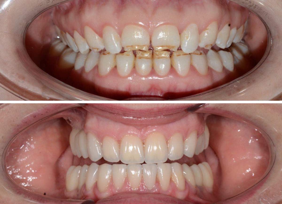
Исходная ситуация
Девушка, 25 лет, обратилась с жалобой на эстетику фронтальной группы, отсутствие возможности улыбаться.
Проведенные работы
Эстетическое и функциональное восстановление структуры зубов при помощи керамических виниров, работая в минимальной толщине в индивидуальных настройках артикулятора.
Лечащий врач: Фадеев Алексей Александрович
Хотите увидеть ещё больше реальных результатов? Загляните в нашу социальную сеть «ВКонтакте» — там мы публикуем свежие примеры «до и после»
