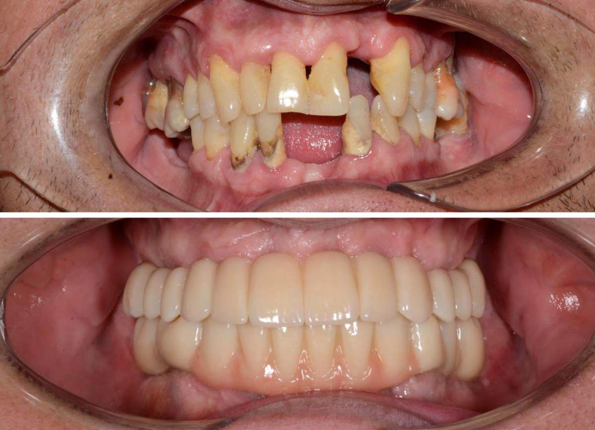
Исходная ситуация
Мужчина средних лет обратился в клинику с жалобой на невозможность приема пищи подвижность зубов. Эстетическая неудовлетворительность. Испытывает страх перед стоматологом.
Проведенные работы
Проведенные работы: работа выполнялась под наркозом. Гигиена, удаление зубов, имплантация, в данном случае с моментальной (немедленной) нагрузкой, когда протез устанавливается в течение 3-4 дней после операции. Временное протезирование на имплантах (конструкция рассчитана на срок до 6 месяцев — до полного приживления имплантов).
Лечащий врач: Фадеев Алексей Александрович, Городков Жан Евгеньевич
Хотите увидеть ещё больше реальных результатов? Загляните в нашу социальную сеть «ВКонтакте» — там мы публикуем свежие примеры «до и после»
